Абсцесс мягких тканей полости рта

Абсцесс - полость с воспалением, заполненная гноем и ограниченная от соседних тканей. Абсцесс мягких тканей рта локализуется в подкожной клетчатке и мышцах.
Чаще всего развитию абсцесса мягких тканей способствует бактериальная инфекция. Заболевание опасно своими осложнениями и требует незамедлительного вмешательства врача.
Причины
Основные причины абсцесса мягких тканей полости рта:
- осложнения после заболевания зубов;
- фурункул;
- ангина;
- нагноение гематомы мягкой ткани;
- повреждение слизистой полости рта или кожи;
- занесение инфекции в ткани с помощью шприца при обезболивании;
- введение веществ, вызывающих некроз ткани;
- инфекция, переносимая кровотоком при различных заболеваниях (грипп, парагрипп и др.);
- результат снижения иммунитета;
- такие возбудители, как синегнойная палочка, стафилококк, кишечная палочка, анаэробные микробы.
Симптомы
Признаки абсцесса мягких тканей полости рта бывают следующие:
- зубная боль, характерная для периодонтита;
- отечность;
- боль в области зуба, усиливающаяся при накусывании;
- припухлость мягких тканей и образование болезненного уплотнения;
- ухудшение общего самочувствия;
- повышение температуры тела;
- нарушение сна;
- плохой аппетит.
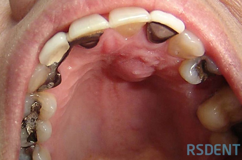
В том случае, если воспалительный процесс начинается под слизистой ротовой полости, при визуальном осмотре будет видно покраснение и набухание. Та же самая клиническая картина будет наблюдаться при расположении абсцесса в подчелюстной области близко к коже.
Исследования лаборатории
- Клинический анализ крови;
- Лейкоцитоз нейтрофильный;
- Смещение лейкоцитарной формулы влево;
- Увеличение показателя СОЭ.
Осложнения
Если не заняться устранением абсцесса полости рта, есть вероятность перерастания небольшого воспаления в разлитую форму с постепенным переходом его в флегмону.
Прогрессирование абсцесса может приводить к прорыву гноя в полость рта. В связи с этим признаки острого процесса стихают, исчезает боль, происходит восстановление нормальных контуров лица и ротовой полости, улучшается общее самочувствие. Заболевание продолжает свое развитие, постепенно переходя в хроническую стадию. Возможно обострение процесса - истечение гноя из свищевого хода с соответствующим запахом, отравление организма продуктами распада микроорганизмов.
Лечение
Основное лечение - хирургическое, включающее вскрытие гнойника. Сущность операционного вмешательства заключается в следующем:
- вскрытие очага воспаления;
- дренирование воспаленной полости;
- кюретаж внутренней стенки;
- аспирация;
- промывание после операции, аспирация.
Профилактика
Профилактические меры включают в себя:
- применение одноразовых шприцов;
- профилактика микротравм;
- правильное выполнение инъекций;
- применение антисептиков.
Раздел: Заболевания
Рекомендуем к прочтению
Фтор-профилактика в клинических условиях
Фтор-профилактика в клинических условиях вызывает достаточно много дискуссий, поскольку фтор может нести как полезные, так и вредные влияния на человека.
Сохранить зубы и десны здоровыми – важная задача, приступать к решению которой нужно задолго до появления проблем
Для всех нас сохранить зубы и десны здоровыми – важная задача, приступать к решению которой нужно задолго до появления проблем, и делать это нужно в течение всей жизни.
Наиболее совершенной техникой восстановления зубного ряда сегодня является имплантация зубов
По ряду причин и обстоятельств потерять зубы может каждый из нас, в независимости от возраста, и тут понадобиться срочное восстановление зубного ряда




